Cabinet Vétérinaire du Rivage
Situé en plein centre de Mélin, le Cabinet Vétérinaire du Rivage vous accueille tous les jours sur rendez-vous du lundi au vendredi de 9 à 19h et le samedi de 10h à 12h pour consulter vos animaux.
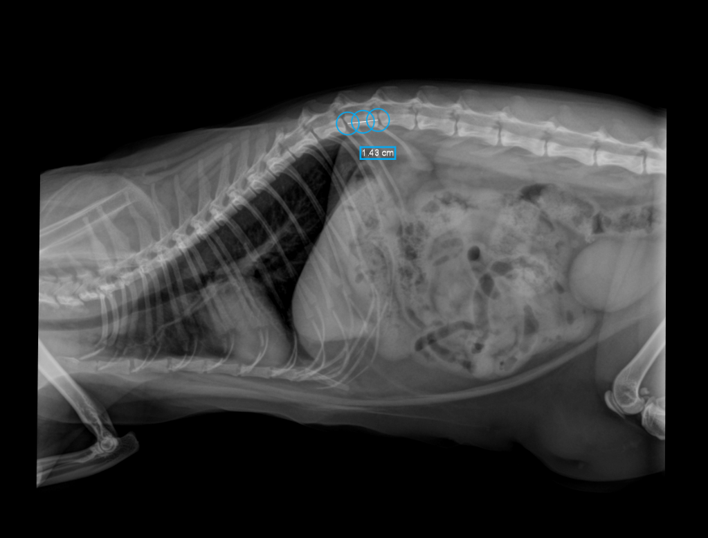
Nouveauté au cabinet vétérinaire du Rivage!
Nous sommes fières de vous annoncer que le cabinet vient de s’équiper d’un nouvel appareil de radiographie numérique.
Très utile pour évaluer la fonction locomotrice, digestive ou encore respiratoire, cet examen permet d’investiguer de multiples troubles et d’affiner de nombreux diagnostics.
Si vous souhaitez en savoir davantage sur cet examen d’imagerie médicale :

Situé dans le village de Mélin, notre cabinet vétérinaire vous accompagne depuis 2021 pour apporter les meilleurs soins à vos animaux. Nous faisons de la santé de votre animal de compagnie et de vos chevaux une priorité.


Notre équipe de deux vétérinaires vous reçoit dans une ambiance familiale et à échelle humaine. Nous prenons notre temps pour répondre à toutes questions relatives à la santé de vos compagnons de vie.
Notre idéologie
Etant en contact avec les animaux depuis notre enfance, c’est tout naturellement que nous nous sommes dirigées vers la médecine vétérinaire.
Nous pratiquons ainsi au cabinet une médecine générale qui se veut performante et humaine afin de prendre au mieux en main la santé de vos animaux de compagnie et de vos équidés et ce, tout au long de leur vie.
Passionnées par ce métier, nous insistons sur la formation continue qui est un point phare de notre idéologie. Nous tenir au courant des actualités du monde vétérinaire reste ainsi la pierre angulaire de notre pratique quotidienne.
Un service varié
En plus des différentes espèces prises en charge pas notre équipe, nous offrons différents services allant de la médecine préventive à la chirurgie générale en passant par différents domaines médicaux tels que la dermatologie, la gestion du patient gériatrique, la médecine interne, etc.

Heures d’ouverture
- Du lundi au vendredi :
Sur rendez-vous : de 9h à 12h et de 14h à 19h - Le samedi :
Sur rendez-vous : de 9h à 12h. - Urgences :
Nous restons disponibles pour vos urgences dans la mesure de nos disponibilités en soirée, week-ends et jours fériés.
Où nous trouver
- Rue du Rivage 21 à 1370 Mélin
- Parking privé en dehors de la circulation

Nous contacter
- Par téléphone :
Pour les animaux de compagnie: 0478/53.66.30
Pour les équins: 0478/53.66.75 - Par mail : cabvetdurivage@gmail.com (ne pas utiliser dans le cadre d’une prise de rendez-vous)
Cabinet Vétérinaire du Rivage
Rue du Rivage 21 à 1370 Mélin 0478/53.66.30
Mis à jour le 27/05/2025
